ABOUT CONTRAST CT
造影CT検査について
当院では検査目的に応じ、ヨード造影剤を使用した造影CT検査を行います。
造影剤を血管内に投与することで、コントラストのついた画像を得ることができ、非造影CTでは診断不可能な病変を検出することができます。
※医師が使用の要否を判断します。
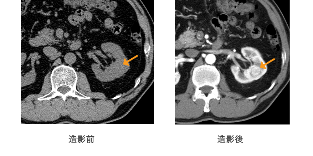
非造影では認識できない病変が造影後は明瞭に認識されます。
(腎癌の症例)
造影剤を血管内に投与することで、コントラストのついた画像を得ることができ、非造影CTでは診断不可能な病変を検出することができます。
※医師が使用の要否を判断します。
非造影では認識できない病変が造影後は明瞭に認識されます。
(腎癌の症例)

禁忌・原則禁忌事項
CTの造影検査では以下の項目に当てはまる方は原則検査を行うことができません。
- 腎臓に重篤な疾患がある方
- 肝臓に重篤な疾患がある方
- 造影剤のアレルギーがある方
- 過去に造影剤による副作用を起こした方
- 妊娠中の方
また、以下の方は場合により検査を受けることができません。
- 喘息をお持ちの方
- 糖尿病の方(服用中のお薬の確認が必要です)

診療時間のご案内
月 | 火 | 水 | 木 | 金 | 土 | 日 | |
診療日 | ○ | ○ | ○ | ○ | ○ | ○ | |
脳神経外来 | 9-12 14-17 |
9-12 | |||||
乳がん画像診断外来 | ○ | ○ | ○ | ○ | ○ | ※ |
※土曜の乳腺外来実施日はお知らせをご確認ください。
当院では外国語(英語、ポルトガル語など)に対応しています。
Our clinic supports English.
Nossa clínica fala português.
当院はバリアフリーです。
授乳やおむつ替えのスペースをご用意しています。お気軽にスタッフにお声かけ下さい。
〒 435-0056静岡県浜松市中央区小池町1790
TEL : 053-411-1790
FAX : 053-411-1791
診療時間のご案内
月 | 火 | 水 | 木 | 金 | 土 | |
診療日 | ○ | ○ | ○ | ○ | ○ | ○ |
脳神経 外来 |
9-12 14-17 |
9-12 |
||||
乳がん 画像診断 外来 |
○ | ○ | ○ | ○ | ○ | ※ |
※土曜の乳腺外来実施日はお知らせをご確認ください。
当院では外国語(英語、ポルトガル語など)に対応しています。
Our clinic supports English.
Nossa clínica fala português.
当院はバリアフリーです。
授乳やおむつ替えのスペースをご用意しています。お気軽にスタッフにお声かけ下さい。
〒 435-0056静岡県浜松市中央区小池町1790
TEL : 053-411-1790
FAX : 053-411-1791
instagram
当院では外国語(英語、ポルトガル語など)に対応しています。
Our clinic supports English.
Nossa clínica fala português.
当院はバリアフリーです。
授乳やおむつ替えのスペースをご用意しています。お気軽にスタッフにお声かけ下さい。
〒 435-0056静岡県浜松市中央区小池町1790
TEL : 053-411-1790
FAX : 053-411-1791