HOME | 検査内容 | CT検査

ABOUT CT

CT検査について

X線による断層撮影です。被ばくを伴いますが、当院のCT装置では最新の被ばく低減技術が採用されています。また、1024マトリックスにより従来の4倍の解像度を実現。
広い範囲を短時間で撮影するのに適しています。

CT装置画像

Computed Tomography :コンピュータ断層診断装置

X線を使った体内の断層撮影検査です。
撮影時間は比較的早く、5分〜15分程度で終わります。

 

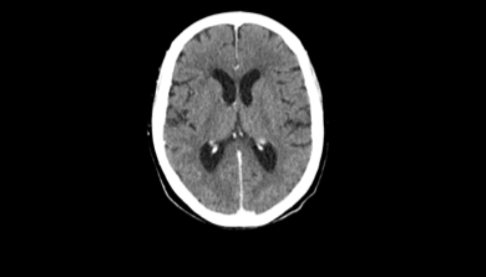
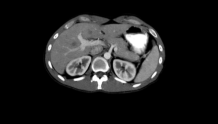
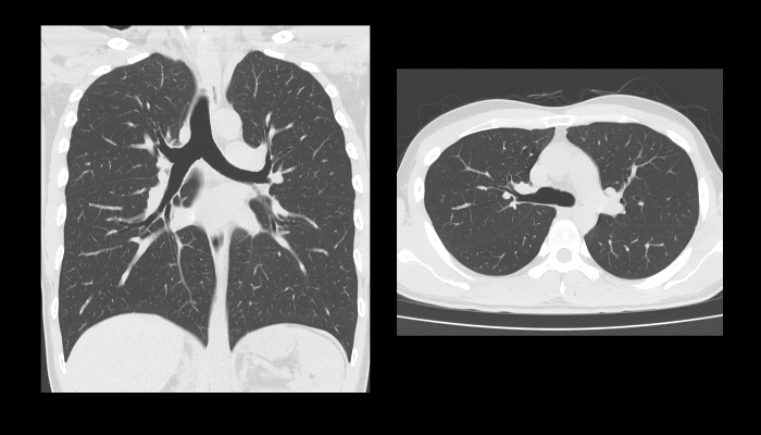
頭部CT画像 頭部CT脳出血や脳挫傷などの評価を行います。 胸部CT画像 胸部CT肺がんや肺炎や大動脈など胸部臓器を評価します。 心臓CT画像 心臓CT冠動脈を評価し、狭心症や心筋梗塞のリスクを検索します。 腹部CT画像 腹部CT肝臓・胆のう・膵臓・腎臓など腹部の重要臓器を評価します。 骨・関節CT画像 関節・骨CT骨折の評価に優れます。 動静脈CT画像 動脈・静脈CT動脈瘤や閉塞性動脈硬化症、深部静脈血栓症など血管の評価を行います。 大腸CT 大腸CT仮想内視鏡と言われる大腸の3D画像を得ることで苦痛の少ない大腸検査をすることができます。検査前日より検査食と下剤を服用していただきます。  

造影CT検査について ABOUT CONTRAST CT

当院では検査目的に応じ、ヨード造影剤を使用した造影CT検査を行います。
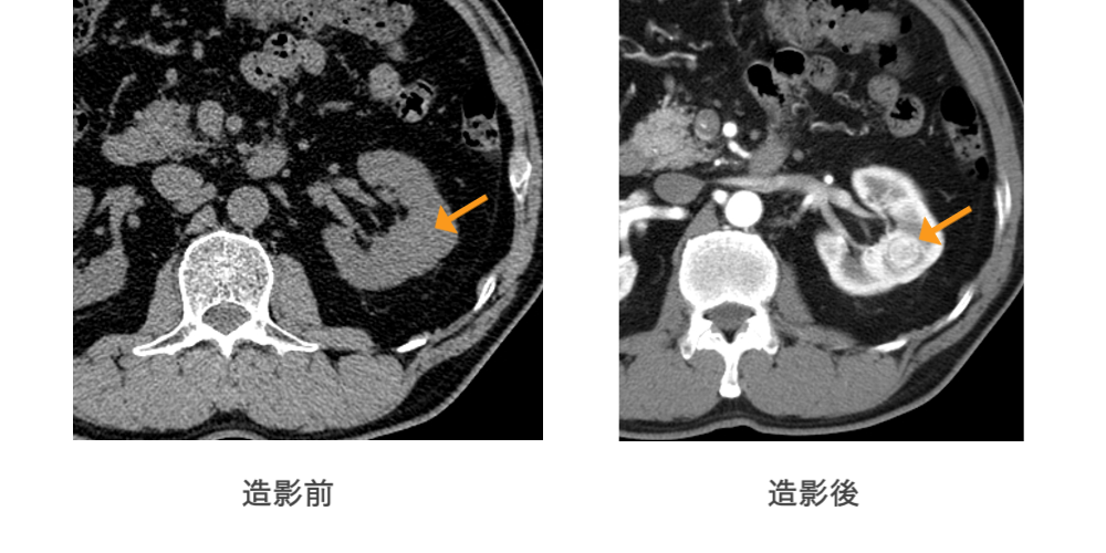
造影剤を血管内に投与することで、コントラストのついた画像を得ることができ、非造影CTでは診断不可能な病変を検出することができます。
※医師が使用の要否を判断します。
 
非造影では認識できない病変が造影後は明瞭に認識されます。
(腎癌の症例)
 
 

禁忌・原則禁忌事項

CTの造影検査では以下の項目に当てはまる方は原則検査を行うことができません。
 

    • 腎臓に重篤な疾患がある方
    • 肝臓に重篤な疾患がある方
    • 造影剤のアレルギーがある方
    • 過去に造影剤による副作用を起こした方
    • 妊娠中の方

 
また、以下の方は場合により検査を受けることができません。
 

    • 喘息をお持ちの方
    • 糖尿病の方(服用中のお薬の確認が必要です)

 

 

造影剤の副作用について

造影剤(ヨード製剤)は世界中で広く使用されている比較的安全な薬剤ですが、一定の頻度で副作用が起こることが知られています。

  • 軽度の副作用
    • 紅潮、吐き気、頭痛、かゆみ、蕁麻疹など
    • 発生頻度 5 %程度
  • 重度の副作用
    • 血圧低下、呼吸困難、痙攣など
    • 発生頻度 0.04 %
    • 死亡例の報告 極めて稀
  • 注射直後から数分以内に生じる即時性副作用の他、注射後1〜24時間後あるいは数日後に発疹・発赤や蕁麻疹などが生じる遅発性副作用も稀ですが起こる可能性があります。

いずれの場合も当院において迅速に適切な処置を行いますので、異常の生じた場合はお申し出ください。
 

心臓CT:Coronary CT

心臓を撮影し、冠動脈画像を描出する検査です。検査時間はおよそ30分です。

 
心臓CT画像
 

検査当日の注意事項

  • 検査前は脈拍が上がらないようにご来院ください。
  • 水分(水、お茶など)は普段よりコップ1、2杯分多めにお摂りください。お薬は服用されて結構です。

 

検査に使用する薬剤について

  • 患者様の脈拍数や不整脈の発生が検査に影響を及ぼすため、安静時の脈拍が極端に早い方や、検査に支障の出る不整脈をお持ちの方にはベータブロッカーという一時的に脈拍を安定させるお薬を使わせていただきます。
 

大腸CT検査について  ABOUT  CT COLONOGRAPHY 

大腸CTとは、内視鏡を使用せずに大腸を観察する検査です。大腸を炭酸ガス(空気に比べて約130倍の速度で大腸に吸収されるので、腹部膨満感が軽減します)を用いて拡張させた状態で撮影することで、大腸の3D画像を作成します。大腸CT検査ではいくつか注意事項があります。場合によっては検査が行えないこともありますので、よくお読み頂き、ご不明な点はお尋ねください。

大腸CTのメリット

  • 体外からの撮影のため苦痛が少なく、約10分と短時間で終了します
  • 内視鏡の挿入が困難なケースにも対応可能です
  • 3Dで観察ができるため、全体を評価でき、内視鏡の死角がありません
  • 大腸以外にも腹部臓器の情報が同時に得られます
  • 他の大腸検査で起こる合併症のリスクはほとんどありません

大腸CTのデメリット

  • 体外からの撮影のため病変の色や硬さの情報が得られません
  • 組織の採取ができないため、病変があった場合は内視鏡の検査が必要になります
  • 残渣や大腸の動きによって、大腸壁が正しく表現できない場合があります(しっかりとした前処置が重要となります
  • 平坦な病変や5mm以下の病変の検出精度は内視鏡に劣ります

検査方法について

検査3日前までに当院にお越しいただき、詳しくご説明致します。

  1. 検査前日から前処置を行います ※前処置についてをお読みください
  2. 腸の動きを抑える注射をします
  3. 細いチューブを肛門に少しだけ挿入します
  4. 炭酸ガスを注入します
  5. CTでうつ伏せと仰向けの2回撮影します(大腸の拡張が不十分だった場合は追加撮影を行う場合があります)

 

前処置や食事について

  大腸CTは他の大腸検査と同様に大腸の中をきれいにするための準備を行います。前日から食事制限をしていただき、同時に下剤を服用します。前処置が適切に行われていない場合、診断に大きく影響を及ぼしますので何卒ご協力お願い致します。

  • お食事は検査前日から指定の検査食のみとなります(空腹時はスポーツドリンク等の水分、ガム、飴等で紛らわしてください)
  • 普段服用しているお薬はいつも通り服用してください
  • 検査当日、糖尿病の方はインスリンや血糖降下剤を使用しないでください
  • 検査前日から水分を多めに摂ってください

 

 

 

 CT検査注意事項 About Cautions

CT検査を行うすべての方

  • 検査前には衣服や体についている金属をすべて外していただきます
  • 以下の方は検査前に必ずお申し出ください
      1. 植込み型心臓ペースメーカーがある方
      2. 植込み型除細動器(ICD)がある方
      3. 妊娠中・妊娠の可能性のある方

 

造影CT検査を行う方

  • 以下の方は検査前に必ずお申し出ください
      1. アレルギーがある方
      2. 気管支ぜんそくがある方
      3. 甲状腺疾患や心臓病、肝臓病、腎臓病、糖尿病などの病気がある方
      4. 過去に造影剤を使用し、副作用が出た方

 

 造影CT検査後について

  • 検査後は通常と変わらない生活をして問題ありません
  • 造影剤の排泄を促すために、通常より水分を多め摂取してください
  • 稀に副作用が現れることがありますが 気になる症状が現れた場合はご連絡ください

 

診療時間のご案内

 
診療日  ○  ○  ○  ○  ○  ○  
脳神経外来 9-12

14-17
      9-12    
乳がん画像診断外来  ○  ○  

※土曜の乳腺外来実施日はお知らせをご確認ください。
当院では外国語(英語、ポルトガル語など)に対応しています。
Our clinic supports English.
Nossa clínica fala português.
当院はバリアフリーです。
授乳やおむつ替えのスペースをご用意しています。お気軽にスタッフにお声かけ下さい。
 

 
435-0056静岡県浜松市中央区小池町1790
 TEL : 053-411-1790
 FAX : 053-411-1791
 
instagram
 

 

平日 8:30 - 18:30
土曜 8:30 - 14:00
( 30分前最終受付 )
      休診日 日曜・祝祭日  

 

 

診療時間のご案内

 
診療日
脳神経
外来
9-12
 
14-17
      9-12
 
乳がん
画像診断
外来
○  ○   ○
※土曜の乳腺外来実施日はお知らせをご確認ください。
当院では外国語(英語、ポルトガル語など)に対応しています。
Our clinic supports English.
Nossa clínica fala português.
当院はバリアフリーです。
授乳やおむつ替えのスペースをご用意しています。お気軽にスタッフにお声かけ下さい。
 

 
435-0056静岡県浜松市中央区小池町1790
 TEL : 053-411-1790
 FAX : 053-411-1791
 
instagram
 

 

平日 8:30 - 18:30
土曜 8:30 - 14:00
( 30分前最終受付 )
      休診日 日曜・祝祭日