HOME | 検査内容 | MRI検査

ABOUT MRI

MRI検査について

磁場と電磁波により、人体を可視化します。X線は使用されず、被ばくはありません。比較的狭い範囲を詳しく見るのに適してきます。脳や骨、筋肉などの撮影も優れています。
当院のMRIは圧縮センシング技術を搭載し、従来に比べ短時間で撮影可能です。また、映像システムにより閉塞感が改善され、小さなお子様や閉所恐怖症の方も受けやすくなっています。
各検査内容につきましては以下を御覧ください。また、検査を受けられる方は検査前の注意事項をご確認ください。
 
LinkIcon 映像システムについて

 
 
MRI装置

当院でできる検査について

 代表的な検査一覧です。その他の部位も対応可能です。

 

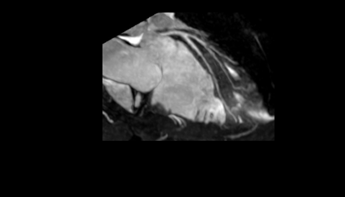
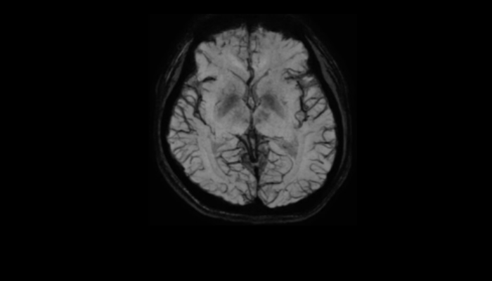
頭部MRI画像 頭部MRI脳腫瘍や脳梗塞、認知症など脳の病気を詳細に評価します。 MRA画像 頭部MRA造影剤を使わずに脳の動脈を描出します。動脈瘤や狭窄を検索します。 脊椎MRI画像 脊椎MRI椎間板ヘルニアや脊柱管狭窄症など脊椎や脊髄の疾患を評価します。 腹部MRI画像 上腹部MRI・MRCP肝臓・胆のう・膵臓・腎臓などの上腹部の重要臓器を詳細に評価します。 乳房MRI画像 乳腺MRIマンモグラフィや超音波と併せて、乳がんを検索や病変の範囲を評価します。 前立腺MRI画像 前立腺MRI前立腺がんを検索します。PSA高値の方はまず前立腺MRIをお勧めします。 子宮・卵巣MRI画像 子宮・卵巣子宮筋腫や子宮体癌、卵巣腫瘍など女性特有の病気を評価します。 膝関節MRI画像 膝関節膝関節の骨や靭帯、半月板を評価します。靭帯断裂や半月板損傷などレントゲンでは評価できない構造も診断できます。 肩関節MRI画像 肩関節肩関節の骨や腱、靭帯を評価します。腱板断裂や腱の断裂などレントゲンでは評価できない構造も診断できます。 心臓MRA 心臓MRA狭心症、心筋梗塞の原因となる冠動脈の狭窄を評価します。造影剤を使用せず、撮影可能です。 DWIBS画像 DWIBS全身のがんを広く検索します。リンパ節や転移の評価にも優れます。  

造影MRI検査 : CONTRAST MRI

当院では検査目的に応じ、造影剤を注射する造影MRIを行います。造影剤を使用することにより、コントラストのついた画像を得ることができ、単純MRIではわからない病変を診断することができます。

 

造影MRI禁忌・原則禁忌事項

MRIの造影検査では以下の項目に当てはまる方は原則検査を行うことができません。
 

    • 腎臓に重篤な疾患がある方
    • 肝臓に重篤な疾患がある方
    • MRI造影剤のアレルギーがある方
    • 過去に造影剤による副作用を起こした方
    • 妊娠中の方

 
また、以下の方は造影検査を受けることができない場合があります。
 

    • 喘息をお持ちの方
    • 授乳中の方(造影剤使用後24時間以内は授乳を避けてください)
 
 
 

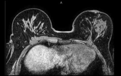
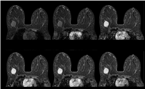
乳腺MRI : Breast MRI

造影剤を使った乳腺の検査です

乳腺MRIの検査は造影剤を使用し、うつ伏せで行う検査です。
乳がんの検出感度が高く、マンモグラフィのような圧迫による痛みはありません。遺伝的に乳がんに罹りやすい方に有効的な検査です。
 

 
 

MRCP : MR cholangio-pancreatography / MR胆管膵管撮影

胆嚢・胆管・膵管を描出する検査です

 MRCPは膵管や胆管の拡張、途絶、欠損、圧排などをみることにより、腫瘍の存在を明らかにすることができます。
 

注意事項

  • 検査前の食事は胆嚢が描出できないため、検査前3時間は飲食禁止です。
  • 胃や消化管内の水が障害陰影となるため、検査直前にボースデル(塩化マンガン四水和物内容液)というお水を服用していただきます。

 

 
 

MRI検査 注意事項 ABOUT PRECAUTIONS FOR MRI

 MRI検査では強力な磁場の中で検査を行うため、検査室への金属類(磁性体)の持ち込みは重大な事故を招く恐れがあり、金属類の持ち込みは禁じられています。体内の金属類では検査が行うことができないものもありますので、以下をよくお読みいただき、当てはまるものがあればご申告ください。
 

禁忌・原則禁忌事項

  • MRI検査では体内に以下のような医療用の金属・機器・人工物がある方は原則検査を行うことができません。
      1. 心臓ペースメーカー、ICD植込み型除細動器
      2. 脳動脈クリップ、脳室内シャント
      3. 人工内耳や神経刺激装置などの体内電子装置
      4. 脊髄刺激装置、脊椎管内リード線
      5. 消化管出血の止血クリップ、マーキングクリップ
      6. 心臓人工弁、ステント(頸部、胸部、心臓、腹部)、コイル、人工血管
 
 
 
  • 以下の方はスタッフに必ずお申し出ください。場合により検査を受けることができます。
      1. 入れ墨・刺青(タトゥー)を入れられている方
      2. 閉所恐怖症の方
      3. 痛み・咳・しびれなどで約20分程度の静止が困難な方
      4. 妊娠・妊娠の可能性のある方
 
 
 

外すことで検査可能となる金属類・人工物

      1. 義歯(入れ歯、インプラント、磁石を利用した義歯)
      2. 歯列矯正器具
      3. 義眼
      4. 義足
      5. 義手
      6. 補聴器
      7. カラーコンタクトレンズ
      8. コルセット
      9. 避妊リング
      10. かつら
      11. グルコース測定器「FreeSTYLE リブレ」
      12. 乳房再建インプラント
      13. 貼り薬
など
 
 
 

診療時間のご案内

 
診療日  ○  ○  ○  ○  ○  ○  
脳神経外来 9-12

14-17
      9-12    
乳がん画像診断外来  ○  ○  

※土曜の乳腺外来実施日はお知らせをご確認ください。
当院では外国語(英語、ポルトガル語など)に対応しています。
Our clinic supports English.
Nossa clínica fala português.
当院はバリアフリーです。
授乳やおむつ替えのスペースをご用意しています。お気軽にスタッフにお声かけ下さい。
 

 
435-0056静岡県浜松市中央区小池町1790
 TEL : 053-411-1790
 FAX : 053-411-1791
 
instagram
 

 

平日 8:30 - 18:30
土曜 8:30 - 14:00
( 30分前最終受付 )
      休診日 日曜・祝祭日  

 

 

診療時間のご案内

 
診療日
脳神経
外来
9-12
 
14-17
      9-12
 
乳がん
画像診断
外来
○  ○   ○
※土曜の乳腺外来実施日はお知らせをご確認ください。
当院では外国語(英語、ポルトガル語など)に対応しています。
Our clinic supports English.
Nossa clínica fala português.
当院はバリアフリーです。
授乳やおむつ替えのスペースをご用意しています。お気軽にスタッフにお声かけ下さい。
 

 
435-0056静岡県浜松市中央区小池町1790
 TEL : 053-411-1790
 FAX : 053-411-1791
 
instagram
 

 

平日 8:30 - 18:30
土曜 8:30 - 14:00
( 30分前最終受付 )
      休診日 日曜・祝祭日